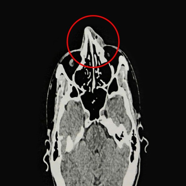
Mới đây, một người đàn ông 35 tuổi ở TP.HCM đã không may bị vợt của đồng đội đánh trúng giữa mũi gây chảy máu, sưng nề. Theo chia sẻ từ ThS.BS.CKI Nguyễn Trung Nguyên, Trung tâm Tai Mũi Họng, Bệnh viện Đa khoa Tâm Anh TP.HCM, cho biết kết quả nội soi và chụp CT 128 lát cắt ghi nhận xương mũi của người đàn ông bị gãy ở vị trí tháp mũi, phù nề tụ khí mô mềm vùng mũi, lệch vách ngăn mũi, viêm mũi xuất tiết. Đây là loại gãy xương mặt phổ biến nhất do mũi ở vị trí trung tâm mặt và nhô ra trước. Người đàn ông được chỉ định phẫu thuật nâng xương mũi, chỉnh hình vách ngăn mũi.

Theo đó, người đàn ông trên cần phẫu thuật nâng xương mũi để đưa mũi về lại hình dáng tự nhiên, thông thoáng đường thở hốc mũi. Nếu không sớm điều trị sẽ gây ra những triệu chứng phổ biến bao gồm đau, sưng, bầm tím quanh mắt, chảy máu mũi, biến dạng mũi hoặc khó thở. Nếu không điều trị, nguy cơ xương mũi biến dạng, vẹo hoặc sụp mũi, làm tắc nghẽn gây viêm mũi xoang, khó thở. Trường hợp nặng, tụ máu vách ngăn có thể dẫn đến hoại tử sụn, biến dạng mũi...
Theo tìm hiểu, bệnh nhân sẽ được điều trị nội khoa 3 ngày giảm phù nề nhằm giúp mũi hết sưng viêm trước khi nhập viện phẫu thuật. Người bệnh được gây mê toàn thân. Qua nội soi kết hợp CT, bác sĩ tiến hành chỉnh hình vách ngăn mũi, rạch niêm mạc vách ngăn phải bị vẹo, tách phần sụn tứ giác và phần xương vách ngăn bị vẹo, cắt bỏ phần xương, sụn vẹo. Sau đó nâng xương chính mũi và ngành lên xương hàm hai bên, chỉnh xương mũi thẳng, cân đối. Cuối cùng, bác sĩ đặt gạc meche chặt vào hốc mũi qua cửa mũi trước, cố định xương mũi đã nâng.

Theo lời khuyên từ bác sĩ chuyên khoa, người bị gãy sương mũi cần được điều trị sớm trong vòng từ 4-7 ngày sau chấn thương, đây cũng chính là thời điểm thuận lợi giúp bác sĩ thuận lợi hơn trong việc nắn chỉnh xương mũi trở lại nhằm hạn chế biến dạng. Đồng thời bác sĩ Nguyên cũng khuyến cáo nếu bị một tác động mạnh vào vùng mũi, nếu thấy sưng đau, bầm tím hoặc vết xây xước ở da vùng mũi, biến dạng mũi, chảy máu mũi hoặc nghẹt mũi… nên đi khám sớm với bác sĩ chuyên khoa Tai Mũi Họng để được chẩn đoán và điều trị kịp thời.
Lý Hoàng Nam + Xuân Đức 🆚️ Minh Quân + Vinh Hiển | 🏆 Giải Pickleball Bảo Lộc - SPIN CLUB 2025