Đừng chủ quan với cơn đau vùng thượng vị, có thể là dấu hiệu ung thư gan

Cảm thấy đau nhẹ vùng thượng vị giống triệu chứng dạ dày, cụ bà 73 tuổi đi khám mới phát hiện ung thư gan trên nền xơ gan lâu năm. Các bác sĩ cảnh báo, triệu chứng mơ hồ vùng bụng trên có thể là dấu hiệu sớm của ung thư gan, đặc biệt ở người mắc viêm gan B, C mạn tính hoặc xơ gan.

Ngày 8/11, Bệnh viện Đa khoa Xuyên Á cho biết đã phẫu thuật cắt bỏ khối u gan, giúp bà Đ.T.A (73 tuổi, ngụ Củ Chi, TP HCM) điều trị triệt căn ung thư nguyên phát tế bào gan.

Theo khai thác bệnh sử, bà A. có tiền sử xơ gan, đang được theo dõi và điều trị nội khoa theo phác đồ của bác sĩ. Gần đây, bà thường xuyên cảm thấy đau vùng thượng vị, cơn đau tương tự như đau dạ dày nên bà cho rằng do rối loạn tiêu hóa. Tuy nhiên, cơn đau kéo dài, ảnh hưởng đến ăn uống và sinh hoạt, nên người nhà đưa bà đến Bệnh viện Đa khoa Xuyên Á thăm khám.

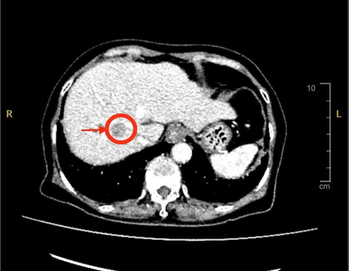
Tại đây, kết quả siêu âm bụng và chụp MSCT phát hiện khối u gan phải kích thước khoảng 2 cm, nghi ngờ ung thư nguyên phát tế bào gan (HCC) – dạng ung thư gan phổ biến ở người có bệnh nền xơ gan, viêm gan B hoặc viêm gan C.

dung-chu-quan-voi-con-dau-vung-thuong-vi-co-the-la-dau-hieu-ung-thu-gan-1-1762607762.jpg
Hình ảnh CT khối u gan (Ảnh:BVCC)

Sau khi hội chẩn đa chuyên khoa, các bác sĩ đánh giá khối u còn ở giai đoạn có thể điều trị triệt căn. Tuy nhiên, do khối u nằm sâu trong nhu mô gan và sát mạch máu lớn, phương pháp đốt u không khả thi, nên chỉ định phẫu thuật cắt gan phải được đưa ra. Các bác sĩ cũng phải đảm bảo phần gan trái còn lại đủ thể tích để duy trì chức năng gan, đồng thời đạt rìa diện cắt triệt căn ung thư, ngăn ngừa tái phát.

“Phẫu thuật cắt gan đối với ung thư nguyên phát tế bào gan là một trong những phương pháp điều trị triệt căn. Tuy nhiên, đây là ca bệnh cần đánh giá kỹ lưỡng do bệnh nhân có nền xơ gan – yếu tố khiến phẫu thuật tiềm ẩn rủi ro cao”, ThS.BS.CKII Phan Văn Sơn, Khoa Ngoại Tiêu hóa Gan Mật Tụy, cho biết.

Trong quá trình mổ, ê kíp phẫu thuật đã thám sát và phát hiện khối u kích thước khoảng 2 cm, nằm sâu trong nhu mô gan, sát các mạch máu lớn. Các bác sĩ phải sử dụng siêu âm trong mổ để xác định chính xác vị trí khối u, đồng thời khống chế các mạch máu lớn nuôi gan nhằm tránh chảy máu ồ ạt.

Theo bác sĩ Sơn, phẫu thuật cắt gan phải là đại phẫu, đòi hỏi đánh giá tổng trạng kỹ lưỡng và xác định thể tích gan trái còn lại có đủ để duy trì chức năng cơ thể hay không. Gan phải chiếm khoảng 60-70% thể tích gan, trong khi gan trái chỉ khoảng 30-40%. Nếu phần gan còn lại không đủ, người bệnh có nguy cơ suy gan sau mổ, đặc biệt ở người đã có xơ gan, có thể dẫn đến tử vong.

dung-chu-quan-voi-con-dau-vung-thuong-vi-co-the-la-dau-hieu-ung-thu-gan-1762607763.png
Ê kíp phẫu thuật cắt gan phải cho bệnh nhân A. (Ảnh: BVCC)

Trong quá trình phẫu thuật, đội ngũ gây mê hồi sức phải theo dõi sát sao vì cắt gan thường gây mất máu nhiều, đòi hỏi duy trì huyết áp thấp để hạn chế chảy máu.

Sau mổ, bệnh nhân hồi phục tốt, các chỉ số chức năng gan cải thiện ổn định. Người bệnh ăn uống bình thường từ ngày thứ hai sau phẫu thuật và được xuất viện.

Trường hợp của bà A. là lời cảnh báo cho những người mắc xơ gan, viêm gan B hoặc C mạn tính, không nên chủ quan với các triệu chứng nhỏ như đau vùng thượng vị, mệt mỏi, chán ăn... Việc tầm soát ung thư gan định kỳ giúp phát hiện sớm tổn thương, nâng cao khả năng điều trị triệt căn.

“Ung thư gan nếu phát hiện sớm vẫn có thể điều trị khỏi bằng phẫu thuật hoặc can thiệp tại chỗ. Vì vậy, những người có yếu tố nguy cơ cao như viêm gan B, C mạn tính, xơ gan... cần được tầm soát định kỳ bằng các phương tiện chẩn đoán hình ảnh như siêu âm, MSCT hoặc MRI để phát hiện khối u ở giai đoạn sớm”, bác sĩ Sơn khuyến cáo.