Ngày 10/10, Bệnh viện Bình Dân cho biết vừa thực hiện thành công ca phẫu thuật robot cắt trọn bướu thận lớn có huyết khối lan sâu 76 mm trong tĩnh mạch chủ cho bệnh nhân T.D.L (48 tuổi, quê Quảng Trị). Đây là trường hợp có huyết khối bướu lớn nhất được điều trị hoàn toàn bằng phẫu thuật robot, không cần kết hợp mổ mở lấy huyết khối như trước đây.
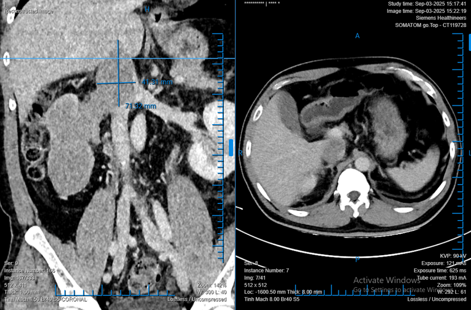
Theo khai thác bệnh sử, ông L. phát hiện bướu thận tình cờ trong lần khám sức khỏe định kỳ. Kết quả chẩn đoán hình ảnh cho thấy khối bướu chiếm gần toàn bộ thận phải, kích thước 68 x 86 x 138 mm, huyết khối lan sâu vào tĩnh mạch thận và tĩnh mạch chủ dưới.

TS.BS Phạm Phú Phát – Trưởng khoa Niệu A, Bệnh viện Bình Dân, cho biết bệnh nhân có nguy cơ tử vong nếu không được can thiệp kịp thời. “Ca mổ kéo dài liên tục 8 giờ, với sự phối hợp của bốn ê-kíp bác sĩ thuộc các chuyên khoa tiết niệu, gan mật, tim – mạch máu và gây mê hồi sức. Các bác sĩ lần lượt di động gan, bộc lộ tĩnh mạch chủ đoạn sau gan, cắt bỏ toàn bộ thận phải cùng huyết khối bướu trong tĩnh mạch. Khác với phương pháp truyền thống cần mổ mở để lấy huyết khối, ca mổ này được thực hiện hoàn toàn bằng phẫu thuật robot”, bác sĩ Phát nói.
Ca phẫu thuật thành công, lượng máu mất chỉ 600 ml, bệnh nhân không cần truyền máu và bảo tồn được toàn bộ đoạn tĩnh mạch chủ. Sau mổ, người bệnh hồi phục tốt, được cắt chỉ và xuất viện sau 10 ngày.
Bác sĩ Phát cho biết ung thư biểu mô tế bào thận có huyết khối tĩnh mạch chiếm khoảng 4–10% số ca. Theo phân độ Mayo, huyết khối được chia từ độ I đến IV tùy vị trí bờ trên của khối bướu. Hướng dẫn điều trị quốc tế mới nhất khuyến cáo phẫu thuật là phương pháp điều trị đầu tay cho nhóm bệnh nhân này. Hội Tiết niệu châu Âu (EAU) cũng đề nghị cắt bỏ toàn bộ thận kết hợp lấy huyết khối bướu.

Nếu không được điều trị kịp thời, bệnh nhân có thể xuất hiện triệu chứng nặng như phù nề nghiêm trọng, rối loạn chức năng tim hoặc đau bụng. Phẫu thuật giúp tăng tỷ lệ sống sót và cải thiện đáng kể chất lượng cuộc sống. Tuy nhiên, kỹ thuật này phức tạp, tỷ lệ biến chứng có thể lên đến 34% nếu huyết khối lan trên tĩnh mạch gan. Do đó, người bệnh cần được điều trị tại các cơ sở chuyên khoa sâu có nhiều ê-kíp phối hợp.
“Ung thư biểu mô tế bào thận giai đoạn sớm có thể phát hiện qua siêu âm, khi kích thước khối bướu chỉ 1–3 cm. Nếu phát hiện sớm, việc điều trị thuận lợi, tiên lượng tốt và chi phí thấp hơn rất nhiều so với phát hiện muộn”, bác sĩ Phát khuyến cáo.
Ung thư biểu mô tế bào thận (RCC) là loại ung thư được chẩn đoán phổ biến thứ sáu ở nam giới và thứ mười ở nữ giới. Theo một công bố năm 2022, ước tính có 434.840 ca mắc ung thư biểu mô tế bào thận mới và 155.953 ca tử vong trên toàn thế giới. Tỷ lệ mắc đang gia tăng, người lớn tuổi có tỷ lệ mắc cao hơn. Tỷ lệ tử vong do ung thư biểu mô tế bào thận cao nhất ở Châu Âu và Châu Á.